علماء في برلين يحققون تقدماً باستخدام "تحرير القاعدة" لتصحيح طفرات مرض الكلى متعدد الكيسات

18 نوفمبر — 16:00

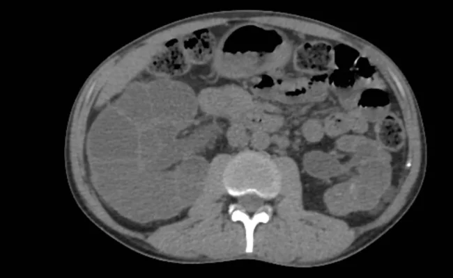
أعلن فريق من العلماء في برلين بألمانيا عن تحقيق تقدم واعد نحو علاج مرض الكلى متعدد الكيسات السائد (ADPKD)، وهو أحد أكثر أمراض الكلى الوراثية شيوعاً وتهديداً للحياة، وذلك بالاعتماد على تقنية تعديل الجينات الدقيقة.قاد الدراسة الدكتور مايكل كامينسكي، ونُشرت نتائجها في مجلة Molecular Therapy. استخدم الباحثون تقنية تعرف باسم "تحرير القاعدة" (Base Editing)، وهي…